Casos clinics Dentals Sabadell

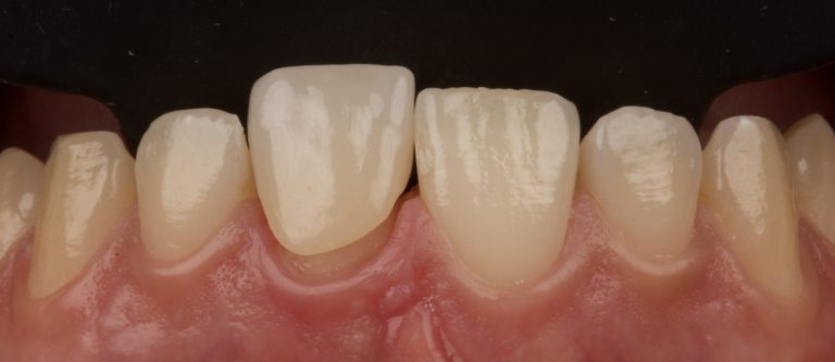
before after

Pacient de 26 anys d’edat, amb antecedent de fractura en incisiu central dret i careta de composite a incisiu central esquerre. Realitzem col·locació d’implant immediat a incisiu central dret, amb pilar de zirconi i canviem la carilla de composite per una carilla feldespàtica.

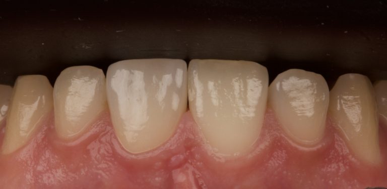
before after

Pacient acudeix a clínica perquè no està contenta amb l’aspecte de les dents. Realitzem empelts de geniva per compensar els teixits tous i col·locació de corones i facetes dentals de ceràmica.

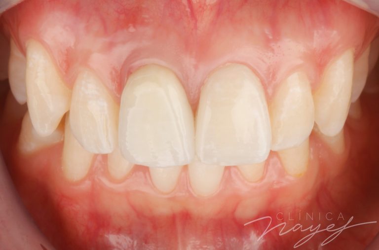
before after

Rehabilitació superior mitjançant corones de zirconi sobre dents i implants dentals

new-project-15 after

Pacient de 60 anys. Es van col·locar 6 implants i una pròtesi de ceràmica superior. A la visita de la cirurgia es col·loca una pròtesi de càrrega immediata superior perquè el pacient tingui unes dents provisionals mentre cicatritzen els implants.

before new-project-13

Rehabilitación superior mediante implantes dentales y coronas cerámicas.

new-project-12 after

Rehabilitación superior mediante implantes dentales con coronas de circonio.

jaoquin-ras-pre-2 joaquin-ras-ras-post

Rehabilitació de maxil·lar superior, mitjançant corones de zirconi, i col·locació d’implant dental al caní.

82efc755-3dd4-4885-8f38-b5705c2b1bfe 7da9ceab-d3d5-4783-acb6-0f6939e80c38
Pacient acudeix a clínica per valorar tractament de rehabilitació dental per recuperar la funció i estètica perduts. Realitzem col·locació d’implants i corones de ceràmica.
1728 1728-2

Higienització d’arcada superior i inferior per col·locar pròtesis parcial removible a maxil·lar superior i inferior.

sc8668 7759

La pacient acudeix a la nostra clínica ja que no li agrada el somriure actual. Realitzem carilles ceràmiques dentals al sector anterior, per millorar el somriure.

whatsapp-image-2022-01-11-at-14.30 whatsapp-image-2022-01-11-at-14.30

Rehabilitació oral completa mitjançant implants i pròtesis ceràmica.

503de20f-c9bd-4ad4-9d9b-50d22bdd6d1es cf460d84-12fe-419c-983c-f3d7a8117345

Pacient amb absència de premolars posteriors, també vol millorar els laterals pel que col·loquem implants posteriors i dues facetes a les dents laterals.

e71ffe7d-7a33-415f-afaf-13a1f36f1adf-e1645559369641 243dcaec-e5b4-4338-b424-b5e11cdded90-e1645559477297

Pacient amb genives inflamades i corones desemparades. Realitzem rehabilitació amb carilles de ceràmica corones i un implant a l’incisiu lateral.

mg_8074 mg_8066

Pacient acudeix amb incisiu central tractat amb múltiples reconstruccions, amb una diferència en quatre a color i forma, realitzem la col·locació de carilla en incisiu central.